Before and After Dental Treatment Results

Feel the confidence behind every smile, see the transformations that changed our patients’ lives.

Book Appointment

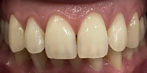
Smile Design

Find inspiration for your perfect smile by exploring our custom Smile Design gallery at SmileWise Dentistry of South Miami.

Before After Before After
Before After Before After
Before After Before After
Before After Before After

Ready to Begin Your Smile Transformation?

Schedule your consultation today and start your journey toward a brighter, more confident smile.

Book Your Appointment Now
Call (786) 605-5565

Teeth Whitening

See the stunning results! Browse before & after photos of professional teeth whitening at SmileWise Dentistry of South Miami.

Before After Before After
Before After Before After
Before After Before After
Before After Before After

Keep Your Smile Healthy and Bright!

At SmileWise Dentistry of South Miami, our team is dedicated to providing comprehensive and gentle dental care that protects your oral health, enhances your smile, and gives you peace of mind at every appointment.

Book Your Appointment
Call (786) 605-5565